Meloidogyne graminicola es responsable de las pérdidas de producción en arroz (Oryza sativa) en Asia y América Latina. Pequeño et al. evaluar los mecanismos citológicos y moleculares subyacentes a la resistencia a los nematodos identificados en el arroz africano (Oryza glaberrima).

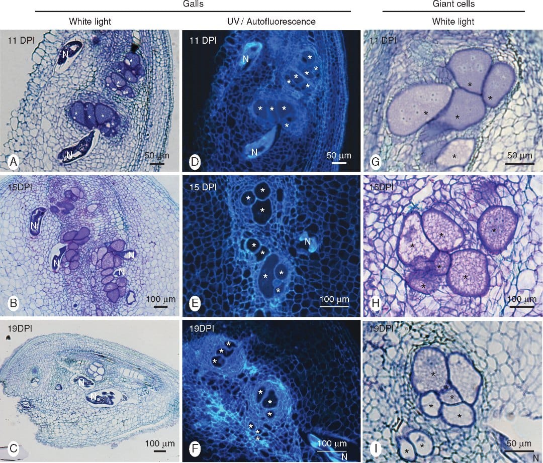
Análisis histológico de agallas inducidas por Meloidogyne graminicola en raíces de arroz resistente (Oryza glaberrima TOG5681).
Análisis histológico de agallas inducidas por Meloidogyne graminicola en raíces de arroz resistente (Oryza glaberrima TOG5681). Secciones transversales de agallas (10 µm) obtenidas a los 11, 15 y 19 dpi se observaron bajo luz UV (panel central) o se tiñeron con azul de toluidina y se observaron con luz blanca (paneles izquierdo y derecho). (A, B, C) Múltiples nematodos alimentándose de células gigantes dentro de la misma agalla. Nótese los cuerpos degradados de los nematodos y las células gigantes vacías a los 19 dpi (C). (D, E, F) Autofluorescencia de agallas seccionadas. Nótese la ausencia de acumulación de fluorescencia alrededor de las células gigantes y los nematodos. (G, H, I) Evolución temporal de la degradación de las células gigantes. (G) 11 dpi: citoplasma denso y una gran cantidad de núcleos rodeados por numerosas células parenquimáticas vecinas. (H) 15 dpi: citoplasma vacuolado. (I) 19 dpi: degradado, desprovisto de citoplasma y núcleo. Asterisco, célula gigante; N, nematodo.

Las respuestas de resistencia del arroz actúan en varios pasos a lo largo del ciclo de vida del nematodo para limitar la penetración y el desarrollo del sitio de alimentación, impidiendo la reproducción eficiente del nematodo. Este estudio proporciona un nuevo conjunto de genes candidatos para O. glaberrima resistencia a nematodos.

Este documento es parte del Annals of Botany Número especial sobre inmunidad vegetal. Será de libre acceso hasta junio de 2017 y después de abril de 2018.